logo
|
Blog
  • YouTube
  • About Dental-Edutec
ENDOMASTER

🦷 Let’s Read Radiographs Like a Pro! 🦷

Master radiographic interpretation for endodontics with Dental EndoMaster! 🦷 Learn how 3D overlays enhance canal detection and root anatomy analysis. #EndodonticTrainingApp
MirrorWorks Dental's avatar
MirrorWorks Dental
Mar 17, 2025
🦷 Let’s Read Radiographs Like a Pro! 🦷
Contents
🔍 Challenge: Can You Find the Roots and Canals in This Radiograph?🦷 The Power of 3D Overlays🎯 Finding the Hidden Palatal Root🏋️‍♂️ Exercise: Train Your Radiographic Vision!🔥 Final Takeaway: Train Smarter, Not Harder

When you start a root canal treatment, how closely do you examine the radiograph? And more importantly—how much information can you extract from it? 🤔

If your answer is "I just look for the canals," you’re missing out on a treasure trove of details that could make or break your treatment.

Today, we're diving into a totally new way to analyze radiographs using a revolutionary approach. Say goodbye to the old-school method of just "staring" at the X-ray—let’s level up your diagnostic skills with Dental EndoMaster! 🚀


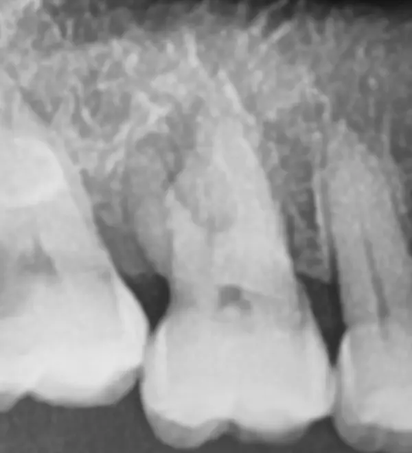
🔍 Challenge: Can You Find the Roots and Canals in This Radiograph?

Let’s take a look at this cropped panoramic image of an upper molar.

panoramic image of an upper molar
panoramic image of an upper molar

Do you see three roots and three canals clearly? 🤨 At first glance, we can spot faint PDL space lines, but even for the most experienced clinicians, confidently sketching out the root anatomy is a real challenge.

How accurate do you think your mental reconstruction is? Let’s find out!


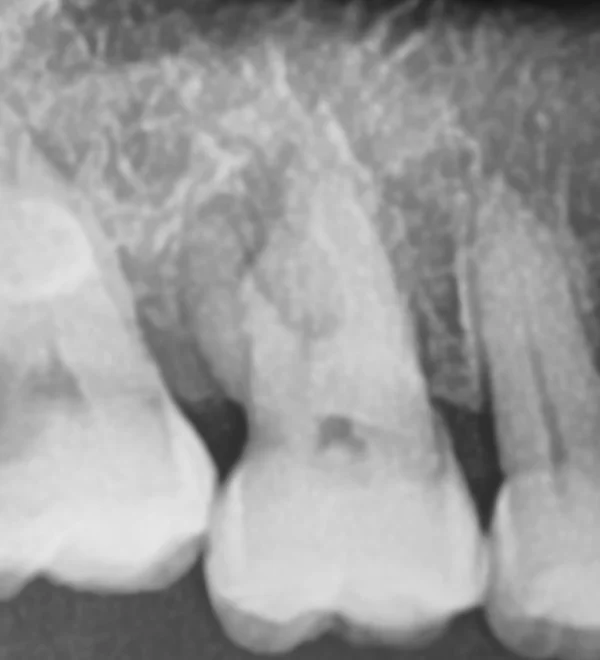
🦷 The Power of 3D Overlays

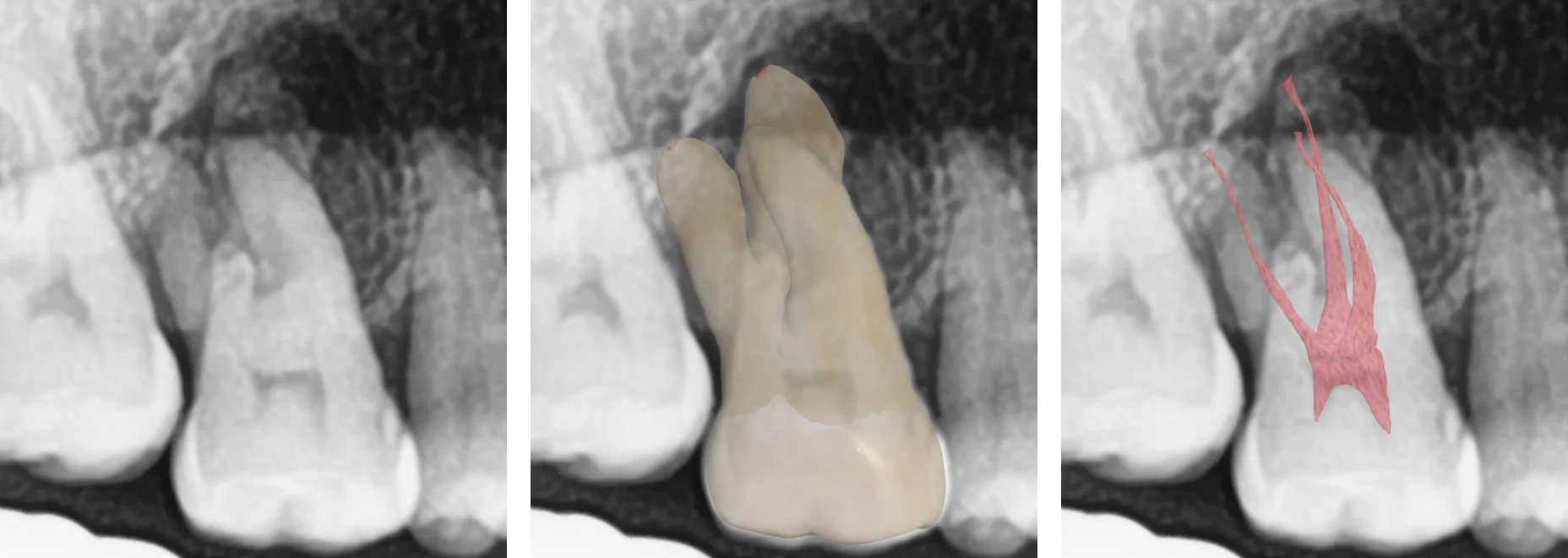
Instead of guessing, we’re jumping straight to the ground truth by superimposing a real 3D model of the extracted tooth onto the radiograph.

Radiographic images and 3D models of tooth root canals
Radiographic images and 3D models of tooth root canals

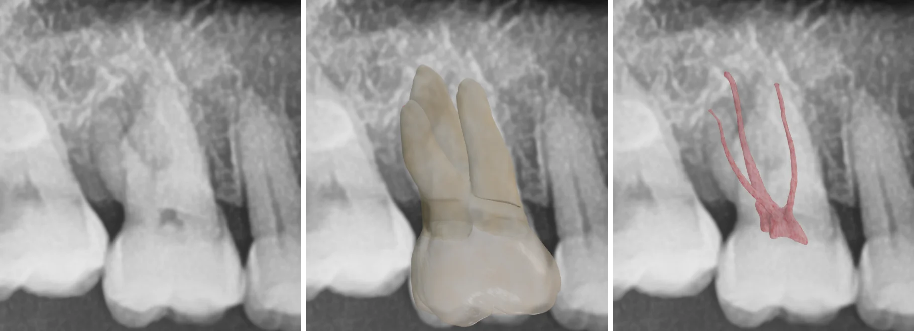
Using Dental EndoMaster’s advanced 3D tooth models, we can align the extracted tooth model onto the radiograph using clear anatomical landmarks.

An image of a 3D model superimposed on a radiographic image.
An image of a 3D model superimposed on a radiographic image.

Look at that! Now we can visually trace the roots with confidence. Instead of working in 2D, we're reconstructing the true 3D anatomy in our minds.


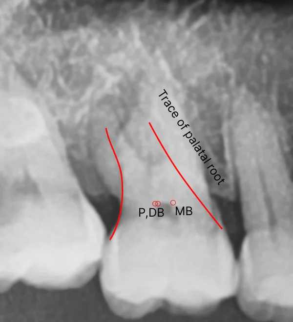
🎯 Finding the Hidden Palatal Root

Palatal roots are often tricky to locate, but now that we have a real 3D model as a reference, spotting its shape and positioning becomes much easier.

Tracing hidden palatal root
Tracing hidden palatal root

Now, let’s train our eyes to detect these subtle shadows in future cases. By practicing with actual 3D models overlaid onto X-rays, we can improve our ability to mentally reconstruct the tooth’s spatial anatomy.


🏋️‍♂️ Exercise: Train Your Radiographic Vision!

Test your skills with this simple but effective exercise:

  • Exercise 1

Dental x-ray, tooth and canal
Dental x-ray, tooth and canal
  • Exercise 2

Dental x-ray, tooth and canal
Dental x-ray, tooth and canal
  • Exercise 3

Dental x-ray, tooth and canal
Dental x-ray, tooth and canal
  • Exercise 4

Dental x-ray, tooth and canal
Dental x-ray, tooth and canal


🔥 Final Takeaway: Train Smarter, Not Harder

By using Dental EndoMaster’s 3D technology, we can take radiographic interpretation to the next level. Instead of relying on intuition alone, we use objective, high-precision models to refine our diagnostic skills.

Want to try this method yourself? Stay tuned for more hands-on radiographic interpretation training with Dental EndoMaster! 🎯

👉 What’s the hardest part of reading radiographs for you? Drop a comment below and let’s discuss! 💬👇

Share article

Dental Master Series

RSS·Powered by Inblog